Pour on dit que le diabète et l’hypertension artérielle sont largement incriminés
L’insuffisance rénale est une altération du fonctionnement des deux reins qui ne filtrent plus correctement le sang. Elle est dite chronique lorsque la destruction est irréversible, sans possibilité d’avoir la guérison. En cas d’insuffisance rénale chronique, la fonction rénale peut être récupérée par dialyse ou la transplantation rénale. Aujourd’hui on va parler les deux facteurs de risques de l’insuffisance rénale : le diabète et l’hypertension artérielle.
	
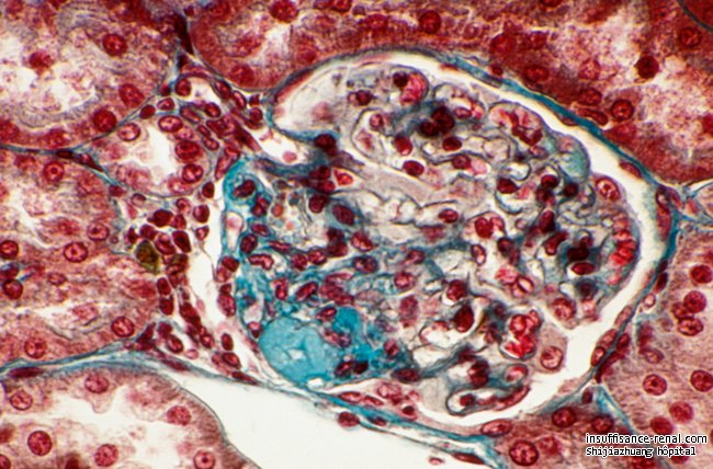
	(L'un des très nombreux glomérules qui, dans les reins, participent au renouvellement de l'eau qui compose notre corps.)
Pour on dit que le diabète et l’hypertension artérielle sont largement incriminés ?
L’insuffisance rénale IR est liée dans presque 25% des cas à une hypertension et un autre quart à un diabète. Ces deux pathologies entraînent des lésions vasculaires rénales qui altèrent la fonction des reins. Selon une étude menée par l’hôpital de la néphropathie de Shijiazhuang, un tiers des patients développe une insuffisance rénale dont 10% à un stade avancé mais l’amélioration constante de la prise en charge du diabète a pu modifier ces données.
Plus de 6 % des cas sont liés à une maladie génétique héréditaire appelée polykystose, caractérisée par de nombreux kystes au niveau des reins.
Enfin, les pyélonéphrites sont à l’origine de 4 % des insuffisances rénales et dues à des infections urinaires très fréquentes, surtout chez la femme, et à la remontée du germe dans les reins.
Si vous voulez savoir plus, N'hésitez pas d'envoyer un mail avec votre attente au néphrologue chez nous à l'adresse suivante: insuffisance-renal@hotmail.com pour profiter des conseils gratuits et professionnels ou contacter par WhatsApp +8615512139310. Vous pouvez aussi parler directement avec l'assistant en ligne pour avoir un contact. Nous vous offrons une solution & un conseil qui répond à vos besoins le plus rapidement.
précédent: trois méthodes sur éliminer le gonflement.
suivant:Comment traiter la maladie rénale avec la pharmacopée chinoise( herbes chinoises) ?
Tag: diabète

